Casi clinici veterinari

Nel corso degli anni, al Centro Specialistico Veterinario del Dr. Giacomo Calabria di Marigliano, abbiamo avuto il privilegio di prenderci cura
di tanti animali, affrontando insieme ai loro proprietari situazioni complesse, a volte difficili, ma sempre affrontate con cuore,
competenza e lavoro di squadra.
Dietro ogni caso clinico c’è una storia fatta di attese, speranze, e spesso anche di piccoli miracoli. In questa raccolta vogliamo condividere con voi alcune delle esperienze che più ci hanno toccato e insegnato: momenti in cui la medicina incontra l’umanità, e dove la collaborazione
tra specialisti, l’uso di tecnologie avanzate e l’ascolto attento fanno la differenza.
Perché ogni vita che curiamo non è solo un paziente, ma un legame da rispettare e una fiducia da onorare.
DERMATOLOGIA
RISONANZA MAGNETICA
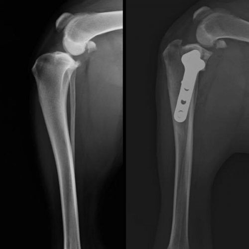
ORTOPEDIA
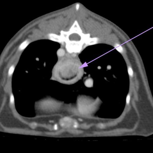
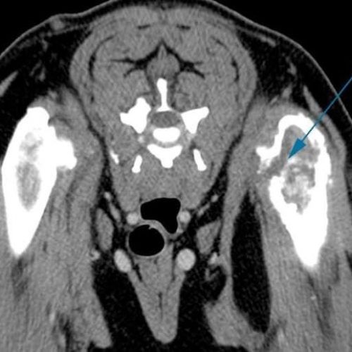
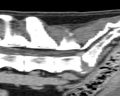
RADIOLOGIA
TC MULTISTRATO
Contatta il nostro Centro
Hai bisogno di fissare una visita per il tuo animale?
Vuoi ricevere maggiori informazioni sui nostri
servizi specialistici?
Il nostro team è a tua disposizione per fornirti assistenza, consigli e supporto qualificato.
Contattaci per prenotare un appuntamento o per una consulenza specialistica.



























